Caso de urgencias (I)
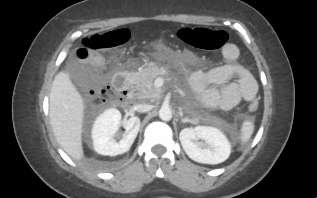
• Mujer de 35 años, sin antecedentes médicos de interés. No hábitos tóxicos. No toma tratamiento crónico. Colecistectomizada como único antecedente quirúrgico. • Ingresa para estudio de epigastralgia de un mes de evolución. No fiebre. Analíticas con elevación de...
★★★★★
“Lo mejor de todo fue adquirir nuevos conocimientos de patologías que no son tan comunes y frecuentes en nuestra población”
Equipo Polígono de Willis, Hospital Santo Tomás, Panamá
★★★★★
“Llegar a la final nos hizo conocer a residentes de toda España con los que comentamos impresiones. Eso estuvo muy bien”
Equipo Digolgi, Hospital Universitario de Santiago de Compostela, España
★★★★★
“Vimos casos muy interesantes que no se ven habitualmente y aprendimos a trabajar en equipo”
Equipo Arni, Hospital Universitari Arnau de Vilanova de Lleida, España
★★★★★
“Participar en la Liga SERAM es una oportunidad increíble para aprender, sumergirte en casos reales y conocer a compañeros de muchos países”
Dr. Guillermo Elizondo, jurado de la Liga SERAM, Hospital Universitario UANL de Monterrey, México
