Casos
Caso de los Residentes 1
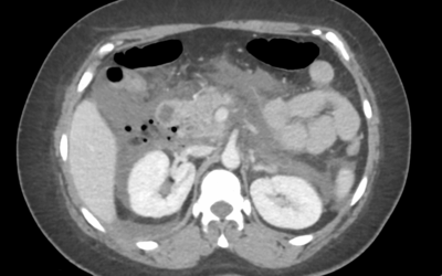
¿Operar o esperar? Mujer de 41 años natural de Filipinas, residente en España desde 2008. Hipotiroidismo subclínico como único antecedente.Consulta en urgencias por dolor epigástrico y en hipocondrio derecho desde hace semanas. Analíticamente destacan unas...
Caso de los residentes 2
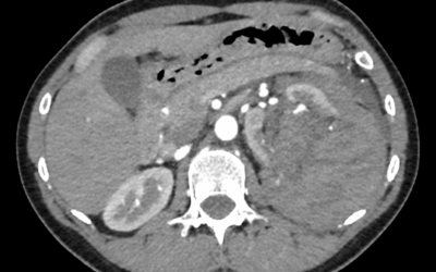
Paciente mujer de 80 años con antecedentes de hipertensión y alteración de enzimas hepáticas (GGT y FA) en 2023. Presenta dilatación de la vía biliar intrahepática en ecografía de control. Acude a urgencias en 2024 por un cuadro de ictericia, coluria y acolia de una...
Caso de Mama
Mujer de 47 años que acude en noviembre de 2017 por nódulo palpable en mama derecha. Enlace al caso
Caso de radiologia musculoesquelética
Mujer de 28 años, natural de Afganistán, llegada a España 9 días antes de las pruebas , derivada a nuestro hospital para estudio de masa pélvica con afectación ósea.Antecedentes personales:– Sin reacciones adversas medicamentosas conocidas– No hábitos tóxicos–...
Caso de neurorradiología
Estudio de inestabilidad, se activó código ictus sin identificar oclusión de gran vaso.Enlace al caso de neurorradiología.
Caso de abdomen
Varón de 80 que consulta por dolor en hipocondrio izquierdo de dos meses de evolución y sensación de masa. El dolor aumenta ligeramente con la inspiración profunda.Comenta pérdida de peso hace 5 años que no ha progresado.Exploración Física: Abdomen blando y...
Caso de urgencias (I)
• Mujer de 35 años, sin antecedentes médicos de interés. No hábitos tóxicos. No toma tratamiento crónico. Colecistectomizada como único antecedente quirúrgico. • Ingresa para estudio de epigastralgia de un mes de evolución. No fiebre. Analíticas con elevación de...
Caso de urgencias (II)
Mujer de 38 años que acude por náuseas y vómitos junto con dolor súbito en fosa renal izquierda que no ha mejorado con Naproxeno y sin esfuerzo o traumatismo previo.Enlace al caso de urgencias (II)




